top of page

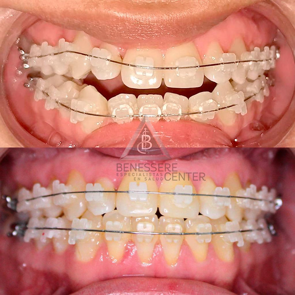
AVANCES CON BRACKETS ESTETICOS

  • Foto del escritor: benesserecentersalud
    benesserecentersalud
  • 25 abr 2020
  • 0 Min. de lectura


 
 
 

Comentarios


ContactO
URDESA

Av. Las Monjas 303 y calle 4ta. 

Frente al colegio Cenest Harvard.

 

Horario: LUN - VIER: 09h00 - 19h00 

              SÁBADO: DE 09H00 - 15H00

​​

Cel: +593 95 884 2032

benesserecenter.gye@gmail.com

¡Gracias por contactarnos!

ContactO SAMBORONDÓN

Av. Rio Esmeraldas. Plaza Prema, planta alta. (Diagonal a Food Garden)

Horario: LUN - VIER: 09h00 - 19h00

               SÁBADO: 09h00 - 15h00

​​

Tel: ‎+593 4-603 9018

Cel: +593 98 231 5334

benesseresambo@gmail.com

  • TikTok
  • Facebook
  • Instagram
  • WhatsApp
  • Google Maps

© 2026 Benessere Center. 

Benessere Center ©2026 by AYEH Studio.

bottom of page